חיפוש

בדיקת קצף: תחליף לצילום רחם ללא קרינה או כאב

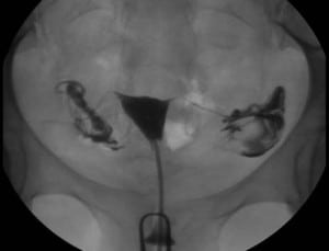
הדמיית הרחם והחצוצרות תחת שיקוף באולטרסאונד ללא כל קרינה וללא כאבים התחליף לצילום רחם ללא צורך בשיקוף בדיקת EXEM
פרופ' דוד סוריאנו

פרופ' דוד סוריאנו

פרופ' דוד סוריאנו הינו מומחה למיילדות, גינקולוגיה ופוריות. מנהל המרכז 4women. סיים את התמחותו ברפואת נשים ויולדות במרכז הרפואי ע"ש שיבא, תל השומר. שימש כיו״ר החברה הישראלית לאנדוסקופיה גינקולוגית (2014-2017). ייסד וניהל את המרכז לטיפול הרב תחומי לטיפול באנדומטריוזיס בתל השומר. השתלם במרכזים מובילים בארה״ב, צרפת, בלגיה, וגרמניה. מרצה בכנסים בארץ ובעולם. פרופסור לרפואה בחוג למיילדות וגינקולוגיה באוניברסיטת תל אביב. מנתח בכיר באסותא רמת החייל, בי״ח רפאל וב HMC.

תוכן עניינים

15-20%  מכלל הנשים סובלות מבעיות פוריות בחלק מהמקרים הפגיעה בפוריות נובעת מחסימה בחצוצרה/חצוצרות מצב הנקרא חוסר פוריות על רקע מכני. במשך שנים רבות, במסגרת ברור עקרות או תת פריון, נשים הופנו לביצוע בדיקת צילום רחם
הצילום התבצע בחדר המצוייד בצילום רנטגן ובוצע על ידי הזרקת חומר ניגוד שומני דרך צוואר הרחם. הבדיקה נערכה תחת קרינת רנטגן ולעיתים הייתה כרוכה באי נוחות רבה למטופלת וכאב. נשים הרגישות ליוד המנעו מביצוע בדיקה זו.
כעת, לראשונה בישראל, נכנסה בדיקה חדשה, בדיקת EXEM,  שמהווה בשורה גדולה לאוכלוסייה זו ומהווה פריצת דרך בגישה הטיפולית בנשים עם הפרעות  פוריות. הבדיקה החדשה מבוצעת בחדר אולטרסאונד רגיל במרפאתנו, תחת הדמיית אולטרסאונד ללא כל  קרינה. היא מבוצעת בעזרת הזרקה של חומר הנקרא exem שאין לו תופעות לוואי ומאפשר הדגמת הרחם והחצוצרות לרופא המטפל. הפעולה מבוססת על הכנסת קטטר גמיש לרחם והזרקת חומר תחת הסתכלות במכדיר האולטראסאונד.


פרופ׳ דוד סוריאנו : "נשים רבות הסובלות מבעיית פוריות עקב אנדומטריוזיס, ניתוחים קודמים או דלקות אגניות נזקקות לבדיקה זו, סוף סוף ניתן לבצע בדיקה אבחנתית להדגמת חלל הרחם והחצוצרות ללא צורך בחשיפה לקרינת רנטגן וללא כאבים. בנוסף בדיקה זו עשוייה לשפר השגת הריון ספונטני עקב שטיפת החצוצרות אם כי יש צורך במחקר בנושא זה״

השאירי פרטים ונחזור אליך

לקריאה נוספת

צילום רחם

את מנסה להרות וזה לא קורה וכעת רופאך מפנה אותך לבצע צילום רחם, הוא מסביר כי בעזרת בדיקה זו ניתן לראות את מבנה הרחם: האם קיים מום רחמי? מחיצה או רחם דו קרני, האם ישנם פגמים בחלל כגון שרירן הדוחק את החלל או פוליפ? ובעיקר האם המעבר בחצוצרות והפיזור לאגן תקינים.

קרא עוד »

שחלות פוליציסטיות

נשים רבות, בעיקר צעירות המתלוננות על מחזור לא סדיר, נשלחות לביצוע בדיקת אולטראסאונד המדגימה שחלות פוליציסטיות. שחלות פוליציסטיות מאופיינות בכך שהן גדולות יחסית (פי 1.5 עד פי 3) ומכילות מספר גדול של זקיקים, לפחות 12 זקיקים, מפוזרים בהיקף השחלה ומעניקים לה מראה טיפוסי של "מחרוזת פנינים".

קרא עוד »

הקפאת ביציות

מאגר הביציות בשחלות האישה אינו גדל או מתחדש במהלך החיים, אלא להפך, אישה נולדת עם כמות קבועה אשר כבר בחיים העובריים מספרן פוחת כך עד להתחלת ההתבגרות המינית, ומאגר הביציות הפוטנציאלי בגיל הפוריות עומד על 200-300 אלף ביציות אשר במהלך החיים הולך ופוחת. לא רק זאת אלא שטיב הביציות משתנה עם הגיל ומעל גיל 44 כמות הביציות התקינות זעום.

קרא עוד »

רזרבה שחלתית

נשים רבות מוטרדות מנושא הרזרבה השחלתית, בד״כ בעקבות הגיל, או כתוצאה מניתוחים כגון כריתת ציסטה שחלתית או לאחר טיפולים רפואיים אשר עלולים לפגוע בתפקוד השחלתי.
בסקירה קצרה זו ננסה לענות על השאלות העיקריות המעניינות נשים רבות ובמיוחד  נשים במהלך טיפולי פוריות.

קרא עוד »

חצוצרות והידרוסלפינגס

לחצוצורת תפקיד מרכזי בהשגת הריון. שם מתרחש המפגש בין הביצית לתא הזרע ושם מתפתח העובר בימיו הראשונים. פגיעה בחצוצרה עלולה למנוע הריון או לגרום להריון חוץ רחמי. 
הידרוסלפינגס – מצב בו החצוצרה חסומה ומלאה בנוזל, עלול לגרום לפגיעה בשיעור השגת ההריון גם במקרים של הפרייה חוץ גופית.

קרא עוד »
גלילה לראש העמוד
דילוג לתוכן