חיפוש

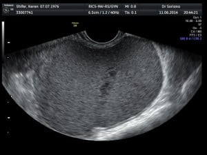
אנדומטריומה

ציסטה בשחלה ציסטות אנדומטריאליות: ציסטה אנדומטריאלית הינה חלק ממגוון הופעה של ממצאים אגניים על רקע אנדומטריוזיס ציסטה בשחלה הנקראת גם אנדומטריומה מופיעה כתוצאה מגדילת מוקדי אנדומטריוזיס ודימום הנאגר בשחלה. כתוצאה מגדילת רירית רחם לע דופן האגן בצמוד לשחלה  בשחלה והופעת דימום מתפתחת ציסטה שחלתית מלאה בדם ישן "ציסטה שוקולדית". ציסטה בשחלה זו עלולה להיות מלווה בתסמיני אנדומטריוזיס.
פרופ' דוד סוריאנו

פרופ' דוד סוריאנו

פרופ' דוד סוריאנו הינו מומחה למיילדות, גינקולוגיה ופוריות. מנהל המרכז 4women. סיים את התמחותו ברפואת נשים ויולדות במרכז הרפואי ע"ש שיבא, תל השומר. שימש כיו״ר החברה הישראלית לאנדוסקופיה גינקולוגית (2014-2017). ייסד וניהל את המרכז לטיפול הרב תחומי לטיפול באנדומטריוזיס בתל השומר. השתלם במרכזים מובילים בארה״ב, צרפת, בלגיה, וגרמניה. מרצה בכנסים בארץ ובעולם. פרופסור לרפואה בחוג למיילדות וגינקולוגיה באוניברסיטת תל אביב. מנתח בכיר באסותא רמת החייל, בי״ח רפאל וב HMC.

תוכן עניינים

רקע

נוכחות ציסטה אנדומטריאלית או אנדומטריומה עשויה להיות ממצא מקרי בבדיקת על קול או ממצא המתגלה בעת בירור כאבי אגן כרוניים, כאבים עזים בעת ווסת, כאבים בעת קיום יחסים וכ'. נוכחות ציסטה שחלתית מעל ל 4-5 ס״מ מעידה על חומרת אנדומטריוזיס ולעיתים קרובות מלווה בנוכחות מוקדים נוספים. לעיתים מדובר בציסטות שחלתיות בשתי השחלות אשר כמובן מהווה אתגר כפול. ציסטות אנדומטריאליות גדולות מ 4 ס"מ המלוות בתסמינים או בבעיית פוריות, לא תעלמנה ללא טיפול כירורגי אשר דורש מיומנות וניסיון לשם מניעת נזק שחלתי וגדילה חוזרת.

הערכה: אנדומטריומה

אנדומטריומה בשחלה זו מחייבת הערכה עי מומחה בתחום ודחיית טיפול עלולה להחמיר את תלונות המטופלת ולגרור נזק עתידי בעיקר בנושא הפוריות.
פריצת ציסטות אלו עלולה להיות קשורה בכאבים, יצירת הידבקויות ופגיעה בפוריות. לעיתים טיפול הורמונלי במסגרת טיפולי פוריות עלול לגרום לגדילה בגודל הציסטה ולהחמרת כאבים.

אנדומטריומה ופוריות:

אנדומטריומה ופוריות: הימצאות הציסטה לאורך זמן עלולה לפגוע ברזרבה השחלתית ולכן יש לאבחן נשים הסובלות מתסמינים ואי פוריות בשלב מוקדם ולהפנותם להערכה מיטבית כוללת אולטראסאונד ייעודי לאנדומטריוזיס והערכת הרזרבה השחלתית עי בדיקת AMH ובדיקת מספר זקיקים אנטרליים AFC.

קיים קשר בנוכחות הציסטה וקושי בהשגת הריון  בעיקר הריון ספונטני, טבעי, ועלול להוות בעיה במהלך טיפולי פוריות והפרייה חוץ גופית. ולעיתים טיפולי פוריות עלולים לגרום לגדילתה , החמרה בתסמינים והמשך אי הפוריות. ציסטות אלו עלולות להזדהם ולהפוך לאבצס שחלתי דבר הנחשב לסיבוך משמעותי.

הטיפול באנדומטריומה:

 הטיפול באנדומטריומה כמו הטיפול באנדומטריוזיס באופן כללי תלוי בחומרת הממצאים, חומרת התסמינים, הרצון בהריון כעת, ורקע הרפואי.

טיפול תרופתי הורמונלי עשוי להקטין או למנוע המשך גדילה אך לא יגרום להעלמות הציסטה ולא יאפשר השגת הריון.

הטיפול הכירורגי מבוצע בלפרוסקופיה במהלכה ניתן לבצע כריתת ציסטה שחלתית (ציסטקטומי), לבצע ניקוז או צריבה בלייזראו באנרגיית פלזמה,  ולהסיר מוקדים נוספים באגן האחראיים לתסמינים ולאי הפוריות.
עיקר תשומת הלב מופנת לנשים בגיל הפוריות הסובלות מכאבים במהלך הווסת, כאבים בעת קיום יחסים או בעיות פוריות בנוכחות ציסטה שחלתית- אנדומטריומה. נשים אלו נזקקות לניתוח לפרוסקופי במרבית המקרים, אשר מביא לשיפור באיכות חייהן ולשיפור הפוריות.

ניתוח לכריתת אנדומטריומה עלול להיות קשור בפגיעה בתפקוד השחלה ולכן יש חשיבות רבה לביצוע הערכה מקדימית כולל הערכת הרזרבה השחלתית טרם הניתוח, בחירת סוג הניתוח, מניעת שימוש בארגיה טרמית, בחירת המנתח בעל ניסיון ומיומנות ובחירת הצוות. 

יש לשקול ביצוע שימור פוריות ע״י הקפאת ביציות או הקפאת עוברים  במקרים של ניתוחים חוזרים, ציסטות דו צדדיות או לפני ניתוח במקרים של ירידה ברזרבה השחלתית.
הניתוח לטיפול באנדומטריוזיס אשר במהלכו מבצעים כריתת אנדומטריומה מביא לשיפור משמעותי בהשגת הריון ספונטני ( שיעור הריון טבעי של 60% בשנה הראשונה לאחר הניתוח), ואף לשיפור בתוצאות הפרייה חוץ גופית, אם כי אין הכרח לבצע ניתוח בהעדר תסמינים או פגיעה באיברים נוספים.

לפני כשני עשורים, החלטתי להתמקד בטיפול בנשים עם אנדומטריוזיס, ואני מקדיש את הקריירה המקצועית שלי בטיפול, ליווי ותמיכה בנשים עם אנדומטריוזיס. צברתי עם צוותי נסיון רב , אשמח לסייע גם לך.

היכן מבצע פרופ׳ סוריאנו ניתוחים אלו?

פרופ׳ סוריאנו מבצע ניתוחים לפרוסקופים בכללם ניתוחי אנדומטריוזיס , וניתוחי כריתת ציסטה בשחלה באסותא רמת החיל וב HMC בהרצליה, ובביח רפאל.

האם קיימים הסדרי תשלום?

קיימים הסדרי תשלום עם מכבי (זהב, שלי) מאוחדת ולאומית (עם השתתפות עצמית בלבד). קיימים הסדר או החזר עם כלל חברות הביטוח וקיים הסדר ייעוץ בלבד לחברות הכללית 

שחלה שמאלית מוגדלת ומכילה ציסטה אנדומטריאלית, מימין הרחם
שחלה ימנית וחצוצרה ימנית במראה תקין
שחלה שמאלית דבוקה לדופן האגן, לאחר הפרדתה
לשם כריתת ציסטה אנדומטריאלית יש ראשית לפתוח את המעטפת (קפסולה) של השחלה
לאחר ביצוע חתך קטן ניתן לזהות את הציסטה
הציסטה נשלפת מתוך השחלה ללא פריצתה
שלבים אחרונים בכריתת הציסטה, ניתן לזהות את הנוזל החום ה"שוקולדי" האופייני
הציסטה נכרתה בשלמותה ומונחת על הרחם
הציסטה מוכנסת לשקית מיוחדת לפני הוצאתה אל מחוץ לבטן
הציסטה האנדומטריאלית לאחר הוצאתה
מראה השחלה והחצוצרה בגמר הניתוח
תוספתן (אפנדיקס) תקין
השאירי פרטים ונחזור אליך

לקריאה נוספת

כריתת ציסטה שחלתית בלפרוסקופיה

כריתת ציסטה שחלתית על רקע אנדומטריוזיס מהווה תלונה שכיחה.נשים רבות פונות לייעוץ עקב אי פוריות , כאבים וממצא ציסטי שחלתי הנקרא אנדומטריומה
הטיפול במקרים אלו הטיפול הינו אישי ותלוי בגיל האישה במצבה הרפואי, בתלונותיה ובמאפייני הציסטה יחד עם ממצאים נוספים , מוקדים נוספים המתגלים במהלך הבירור.

קרא עוד »

כריתת שחלות מניעתית

כריתת שחלות מניעתית,  נשאות ל BRCA

ההמלצה לכריתת שחלות מניעתית עלולה להינתן במצבים שונים, במהלך ניתוח לכריתת רחם, עקב גורמי סיכון לסרטן שחלות, במקרים של נשאות ל BRCA, ובמקרים נוספים. ההחלטה תלוויה בגורמים רבים ובראשם גיל האישה, מצבה ההורמונלי המלצות הרופאים המקצועיים ובגישה הניתוחית

קרא עוד »
גלילה לראש העמוד
דילוג לתוכן